Linfonodos Torácicos
.jpg)
.jpg)
- Entende-se por N1 todos os linfonodos dentro da reflexão pleural.
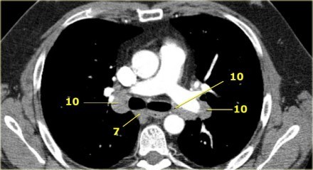
- A avaliação dos linfonodos é feita medindo-se o diâmetro de seu menor eixo. Menor diâmetro superior a 10 mm, independentemente da cadeia, é considerada anormal.
.jpg)
2R Linfonodos estendem-se para a borda lateral esquerda da traqueia.
Limite superior: borda superior do manubrio.
Limite inferior: intersecção da margem caudal da veia inominada (brachiocefálica esquerda) com a traqueia.
2L. Paratraqueal Superior Esquerda
Limite superior: borda superior do manúbrio
Limite inferior: borda superior do arco aórtico.
.jpg)
Linfonodo no estádio 2 em frente à traqueia (linfonodo 2R.)
Há também um pequeno linfonodo prevascular (linfonodo na estação 3A)
3. Linfonodos Prevasculares e Prevertebrais
Linfonodos estação 3 não estão adjacentes à traqueia como os linfonodos estádio
Eles podem ser:
3A - anteriores aos vasos
3P - posteriormente ao esôfago, prevertebrais
Linfonodos estadio 3 não são acessíveis à mediastinoscopia.
Linfonodos 3P podem ser acessados com ultrassonografia endoscópica.
.jpg)
.jpg)
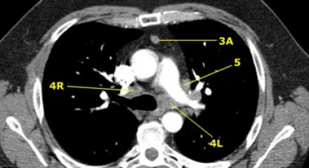
4R. Paratraqueais Inferiores Direitos
Limite superior: intersecção da margem caudal da veia inominada (brachiocefálica esquerda) com a traqueia.
Limite inferior: borda inferior da veia ázigo.
Linfonodos 4R estendem-se para a borda lateral esquerda da traqueia.
.jpg)
Linfonodos paratraqueais 4R
4L. Paratraqueal Inferior Esquerdo
5. Linfonodos Subaórticos
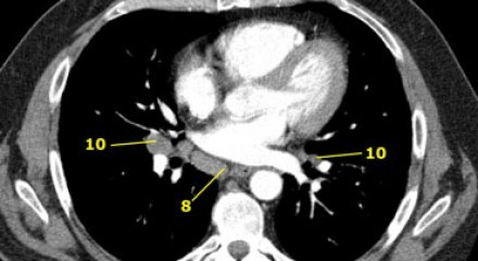
8. Linfonodos Paraesofageanos
Estes linfonodos estão abaixo dos linfonodos carinais e se estendem caudalmente até o diafragma.
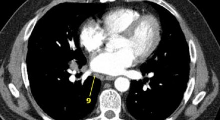
9. Linfonodos do ligamento Pulmonar
Linfonodos do ligamento pulmonar estão dentro do ligamento pulmonar, incluindo aqueles na parede posterior e inferior da veia pulmonar inferior.
O ligamento pulmonar é a extensão inferior das reflexões da pleura mediastinal que cercam o hilos.
.jpg)
.jpg)
















